
Los investigadores de KU Leuven nos demuestran la aplicación del análisis poligenético y la modificación genética en cervezas de levadura de cerveza industrial dando características del sabor mejoradas.
Han mejorado la cerveza mediante la identificación de un gen responsable de la mayor parte del sabor de la cerveza
Comenzaron estudiando cepas de levadura Saccharomyces cerevisae que fueran resistentes al CO2 y en su producción de acetato de isoamilo que da al la cerveza el sabor afrutado similar al plátano.
Después de encontrar una cepa robusta, analizaron la secuencia del genoma completo, identificaron una mutación en el gen MDS3 que codifica un regulador involucrado en la producción de acetato de isoamilo.
Usaron la técnica de edición de genes CRISPR/Cas9 para diseñar la misma mutación en otras cepas de levadura, que resistieron mejor la presión del CO2 y conservaron mejor su sabor.

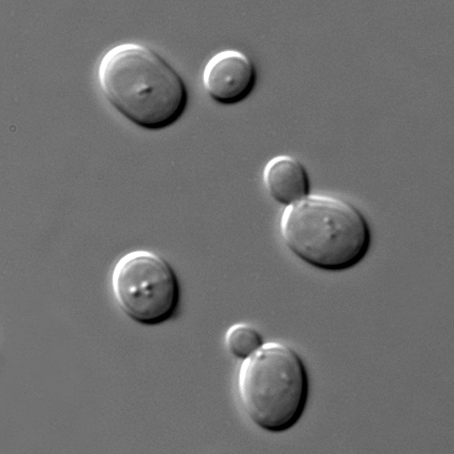
La levadura de cerveza (Saccharomyces cerevisiae Meyen ex E.C.Hansen, de Saccharo azúcar, myces hongo y cerevisiae cerveza) es un hongo unicelular, un tipo de levadura utilizado industrialmente en la fabricación de pan, cerveza y vino. El genoma de saccharomyces cerevisiae fue el primero de entre los eucariotas en ser secuenciado.
Reino: Fungi
División: Ascomycota
Clase: Saccharomycetes
Orden: Saccharomycetales
Familia: Saccharomycetaceae
Género: Saccharomyces
Especie: S. cerevisiae
Meyen ex E.C.Hansen
El genoma de esta levadura contiene aproximadamente 12.156.677 pares de bases (12 Mb) con 6.275 marcos abiertos de lectura, o genes, de los que se cree que solo 5.800 son genes realmente funcionales. Está organizado en un conjunto de dieciséis cromosomas completamente caracterizados con tamaños entre 200 a 2200 kb. Se estima que comparte aproximadamente el 23 % del genoma con el ser humano.

La tecnología CRISPR (clustered regularly interspaced short palindormic repeats) es una reciente herramienta de edición del genoma que actúa como unas tijeras moleculares capaces de cortar cualquier secuencia de ADN del genoma de forma específica y permitir la inserción de cambios en la misma.
Para manipular secuencias del genoma de organismos vivos destacan actualmente:
• las nucleasas de dedos de zinc (ZFN): proteínas sintéticas cuyas regiones de unión a ADN les permiten cortar el ADN en puntos específicos.
• las nucleasas sintéticas tipo activadoras de transcripción (TALEN)
• las nucleasas de secuencias palindrómicas inversas (CRISPR-Cas): son más eficientes y pueden llegar a más genes que ambas técnicas.
El sistema CRISPR-Cas es un mecanismo de defensa procariótico empleado por algunas bacterias para eliminar virus o plásmidos invasivos, estas regiones eran un sistema inmune para microorganismos.
El sistema consta de un componente proteico Cas9 con actividad nucleasa, que corta el ADN, un ARN, conocido como ARN guía, que dirige al anterior dominio catalítico hacia la secuencia de ADN que se quiere editar. Cas9 es una nucleasa, una enzima especializada en cortar ADN, con dos sitios de corte activos (HNH y RuvC), uno para cada cadena de doble hélice.
BIBLIOGRAFÍA:
Mojica, Francisco J.M; Almendros, Cristobal; “Los orígenes de CRISPR”, Investigación y Ciencia; Octubre 2017, nº 493
https://www.investigacionyciencia.es/revistas/investigacion-y-ciencia/los-orgenes-de-crispr-716
QUIMICA.ES; «Saccharomyces cerevisiae»
https://www.quimica.es/enciclopedia/Saccharomyces_cerevisiae.html
Parapouli M, Vasileiadis A, Afendra AS, Hatziloukas E.; » Saccharomyces cerevisiae and its industrial applications». AIMS Microbiol, 11;6(1):1-31. doi: 10.3934/microbiol.2020001. PMID: 32226912; PMCID: PMC7099199, 2020
https://www.ncbi.nlm.nih.gov/pmc/articles/PMC7099199/
📕 Magnus Lundgren; “CRISPR: methods and Protocols”, Ed. Human Press; 2015








